Chipped a Tooth? Here’s How Emergency Dental Care Can Help
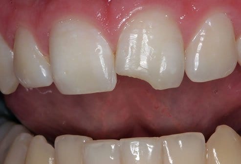
It can happen in an instant—a crunch on a hard candy, an accidental elbow during a game, or an unexpected fall. Whatever the cause, a chipped tooth can be both painful and unsettling. If you're in Calgary and you've found yourself in this situation, it's important to know you're not alone—and more importantly, that help is readily available. At Expressions Dental™, we understand the urgency and discomfort that comes with dental emergencies. In this blog, we'll walk you through what to do if you chip a tooth, how emergency dental care can help, and what to expect during your visit. First Things First: Is a Chipped Tooth a Dental Emergency? Not all chipped teeth are created equal. Some may be minor and purely cosmetic, while others may involve nerve exposure, bleeding, or sharp pain. Here are signs you should seek emergency dental care right away: • Persistent pain or sensitivity to hot or cold • Bleeding around the affected tooth or gums • Swelling in the mouth or face • Sharp or jagged edges that may cut your tongue or cheeks • The tooth is loose, cracked deeply, or has broken off completely When in doubt, don't wait. Call an emergency dentist immediately to assess the severity. What to Do Right After You Chip a Tooth Here’s a simple action plan to follow: 1. Rinse Your Mouth Use warm water to clean the area gently. This helps remove any blood, food particles, or bacteria. 2. Apply a Cold Compress If there’s swelling, use a cold compress or ice pack on your cheek for 10-15 minutes at a time. 3. Control Bleeding (if any) Apply gentle pressure with a piece of clean gauze or cloth if the gum is bleeding. 4. Find and Save the Tooth Fragment If you can, retrieve any broken pieces and store them in a clean container of milk or saliva. Bring it with you to the clinic—your dentist may be able to reattach it. 5. Avoid Eating on That Side Stick to soft foods and avoid biting down on anything hard until you've seen your dentist. How Emergency Dentists Treat a Chipped Tooth At Expressions Dental™ Calgary, our emergency dentists take a tailored approach based on the location, size, and severity of the chip. Here’s how we might help: Minor Chips (Cosmetic) For small surface chips that don’t affect the tooth’s structure or nerves: • Dental bonding: A tooth-coloured resin is shaped and polished to restore the tooth’s appearance. • Smoothing: Sometimes, minor rough edges can simply be polished for comfort and aesthetics. Moderate Chips When more tooth structure is lost: • Composite fillings or onlays may be used to rebuild the tooth. • Porcelain veneers can restore front teeth with larger chips for a flawless look. Severe Chips or Fractures If the damage exposes the inner pulp: • Root canal treatment might be necessary to remove infected tissue. • Crowns are then used to protect and restore the tooth’s integrity. • In rare cases, tooth…








