Tips for Healthy Mouth
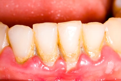
Taking care of your health and your mouth one of the most important things to do keep your smile healthy. Brushing your teeth at least twice a day with fluoride toothpaste and having regular check-ups with a dentist can help keep your teeth healthy. Also, don't forget to floss daily. Following simple tips may help you save your valuable time, money and energy from combating dental problems. Maintain healthy diet – What you eat and drink can cause tooth decay, so a healthy diet is important for your teeth. A healthy, balanced diet includes plenty of fruit and vegetables, as well as starchy foods such as bread, rice, potatoes and pasta (choose wholegrain versions and eat potatoes with their skin where possible). You should also eat sources of protein such as meat, fish, eggs, beans or other non-dairy sources of protein, and some milk and dairy foods (ideally lower fat options). Reduce sugar from your diet – Limiting the amount of sugar you eat and drink is important to prevent tooth decay. A lot of the sugars we eat and drink are in food and drinks such as sweets, chocolates, sugary drinks, juices, syrups etc. When fruit is juiced or blended, as in smoothies, the sugars are released from the structure of the fruit. Once released, these sugars can damage teeth, especially if you drink fruit juice frequently. Quit smoking – Smoking can stain your teeth yellow, cause bad breath, and increases your risk of gum disease, breathing problems, lung cancer and mouth cancer. Giving up smoking is important if you want to look and feel better. Limit alcohol consumption – Alcohol misuse has been linked to an increased risk of developing mouth cancer. The most important risk factors for mouth cancers are the combined effect of smoking and drinking alcohol. (ref: oracancerfoundation.org) Eat right – Some other substances such as wine, tea or coffee can stain your teeth. Keep them to a minimum to stop your teeth becoming stained. Use mouthwash – Using a good mouthwash will not only keep your breath fresh, it can help keep harmful bacteria away. Drink lots of water Rinse your mouth after every meal. Take care of your teeth and gums with proper daily routine of brushing and flossing. If your diet has impacted your oral health with severe tooth decay or tooth loss, call us at Expressions Dental to know your treatment options.










